Röntgen

Verfasser der Artikel ist soweit nicht anders vermerkt Dr. C. A. Bingold, Pferdeklinik Großostheim

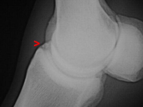
Chip Fesselgelenk

 

Der Autor übernimmt ausdrücklich keine Haftung für aus diesen Seiten abgeleitete Maßnahmen, für angegebene Dosierungen, Nebenwirkungen oder Schäden in Folge der Anwendung von Präparaten oder Maßnahmen. Die Dosierung ist im Einzelfall zu prüfen. Die Präparate dürfen nur von Tierärzten angewandt werden. Die Zulassung der Präparate für das Pferd ist im Einzelfall zu prüfen. Nicht für das Pferd und für die jeweilige Indikation zugelassene Medikamente anzuwenden ist strafbar.


p1
  Röntgen     Röntgen 

Das Copyright 2011  Dr. C. A. Bingold. Eine Weiterverbreitung, Verarbeitung gleich welcher Art und der Ausdruck ist abgesehen vom persönlichen Eigengebrauch nicht gestattet.